Стрелка навигации Смоленск, ул. Дзержинского, д. 6
Телефонная трубка +7 (4812) 33-99-33
Пн–Пт: 8.20–21.00 Сб: 9.00–18.00 Вс: вых.

Наши врачи

Примеры работ

  • Полное восстановление функциональной и эстетической функции

    Для улучшения внешнего вида его верхней челюсти были установлены коронки из диоксида циркония, которые отличаются повышенным гарантийным сроком службы. Подробнее о материале и его свойствах вы можете узнать на персональной консультации.

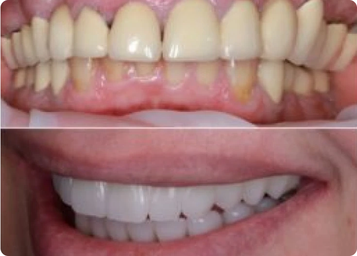
  • Полное восстановление функциональной и эстетической функции

    Для улучшения внешнего вида его верхней челюсти были установлены коронки из диоксида циркония, которые отличаются повышенным гарантийным сроком службы. Подробнее о материале и его свойствах вы можете узнать на персональной консультации.

  • Полное восстановление функциональной и эстетической функции

    Для улучшения внешнего вида его верхней челюсти были установлены коронки из диоксида циркония, которые отличаются повышенным гарантийным сроком службы. Подробнее о материале и его свойствах вы можете узнать на персональной консультации.